Accessible Version
Harmony Dental Wellness
A Great Dentist

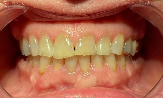
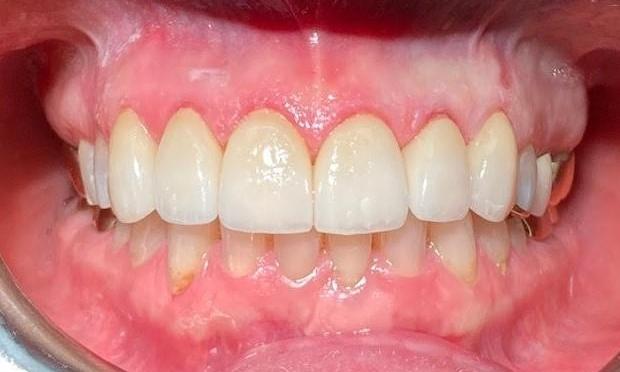
Full Mouth Rehab

This case combined Invisalign, composite restorations, whitening and veneers to restore damage done from decades of grinding. Most dental offices would have placed crowns on all the back teeth, but with Invisalign treatment to set the bite, we were able to preserve more of the patients teeth while saving time and expense. 

Service Performed By:

Sheila Farahani
Have Questions? Get in Touch
If you have difficulty using our website, please email us or call us at (512) 346-1212