Smile Gallery
One of the best aspects of our work is changing lives! Browse our Smile Gallery to see how different treatment procedures impact your smile.
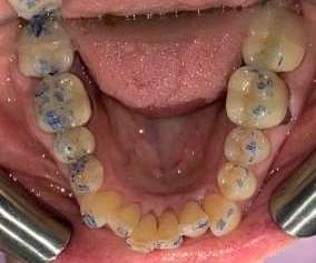
This patient had worn down her teeth over the years due to a bad bite. Dr. Farahani used Invisalign to move the teeth into a position where they could be restored and then placed 4 crowns top and bottom to give her back the length of her front teeth. This is a great example of the conservative restorative care provided at Harmony Dental Wellness to bring your mouth and body back into balance!
When this patient came to us she was in pain and her teeth were very mobile. We replaced all of her upper teeth with an implant supported prosthetic while preserving her lower teeth!
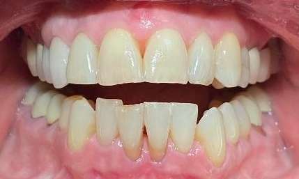
This case combined Invisalign, composite restorations, whitening and veneers to restore damage done from decades of grinding. Most dental offices would have placed crowns on all the back teeth, but with Invisalign treatment to set the bite, we were able to preserve more of the patients teeth while saving time and expense.
After this tooth was chipped, we placed composite bonding with the aid of our Solea Laser! This procedure used no shots or drills and there was no removal of tooth structure!
This patient had an old metal framework bridge to replace a missing front tooth. Over time the gums pulled back leaving an ugly feature in her beautiful smile. Dr. Farahani replaced the bridge with a custom, layered porcelain bridge, restoring the confidence of her smile!
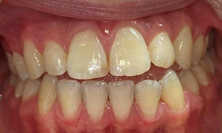
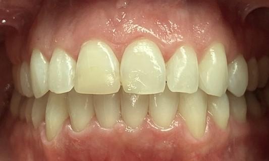
When this patient came into our office, she told us she had orthodontics as a teen and her open bite was the best they could do. She complained that she couldn't bite into a sandwich without the lettuce pulling out through her teeth since she couldn't get her front teeth to touch! In less than a year, Dr. Farahani corrected the remaining open bite and gave her the ability to eat all foods! What a life changer!
After braces, this patient had white spots around where the brackets had been. We use a resin infiltration called Icon that does not require any shots or drilling to remove these spots and harden the tooth structure! Visits take about 10 minutes per tooth and results are long-lasting.
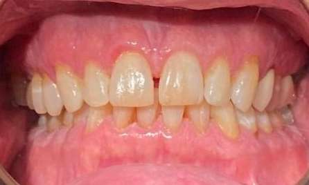
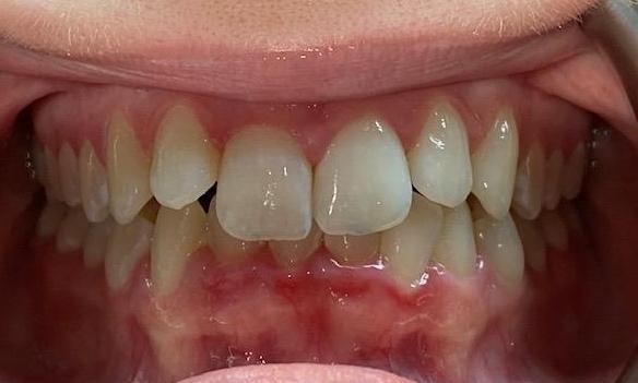
Using the BioClear system, Dr. Farahani was able to close the gap between this patient's two front teeth without drilling or removing any tooth structure. The result is a long-lasting, conservative and beautiful result!
She came to us with a deep bite due to her lower front teeth sitting too high and her two front teeth pushed forward. Using Invisalign, we moved her lower front teeth down into their proper position and pulled the two front teeth back into place. She also needed a deep cleaning to removed deep buildup and restore her gum health. The results are beautiful and healthy!
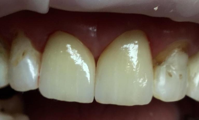
This patient had an old, discolored filling for years on her front tooth. In one visit, Dr. Farahani placed a composite veneer to restore the natural look and feel of the tooth. Like it never happened, this patient was given back the strength and confidence of a beautiful smile!
Her lower front teeth were chipping and crowded. 6 months later, she has straight and healthy teeth! Invisalign allows the fastest and easiest solution for tooth movement to give you the smile you've always wanted.
This patient had discolored and cracked front teeth that were weak and unsightly. He had become self-conscious of his smile due to his teeth. We placed porcelain crowns on both front teeth and restored his confident smile!
Crowding had caused multiple cracks in this patients teeth. We properly aligned her teeth to protect them from future cracking, filled in the black triangles at the gum line with BioClear and gave her back a confident, healthy smile!
After orthodontics, this patient was left with black triangles of space at the gum line. Using the Bioclear system, Dr. Farahani added tooth colored filling material to close the spaces without removing any tooth structure! (Note: Black Triangles result from historic bone loss, not caused by orthodontics!)
In only 10 months, Dr. Farahani corrected the crowding and bite issues for this patient. Uncrowding those front teeth helps prevent gum disease, chipping, wear and pain! She was a smiling like a new woman!
This patient had a space between his two front teeth that Dr. Farahani closed in only 6 months using Invisalign orthodontics. He whitened his teeth a touch and then we touched up the two front teeth with the BioClear System. Another happy patient!
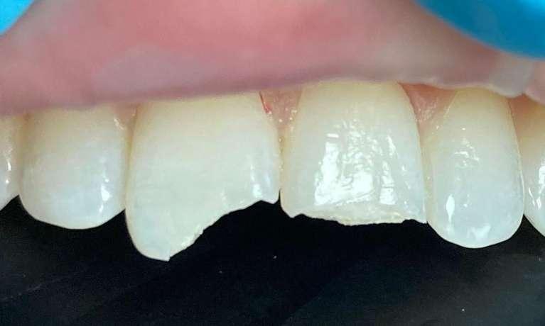
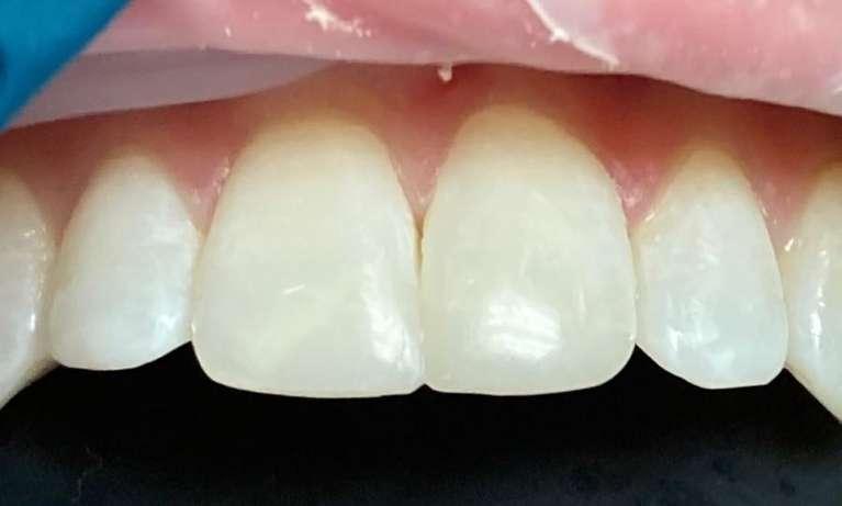
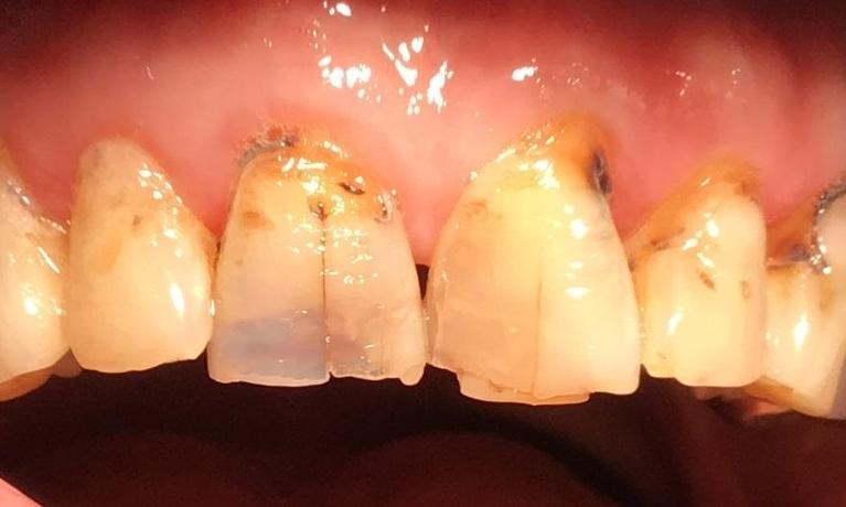
This patient fell and broke her two front teeth on a weekend. Dr. Farahani came in and fixed them in about an hour, restoring the confidence and health of her mouth!
In only 6 months we corrected both a deep bite and crowding. No elastics, bands or wires were used! Invisalign is comfortable, safe and easy to use.
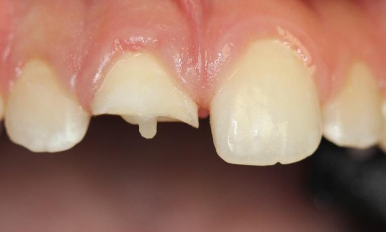
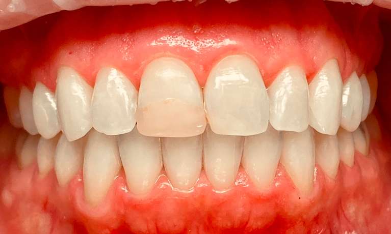
This patient broke her front tooth and needed emergency treatment. In about 30 minutes, Dr. Sheila Farahani was able to place this post and rebuild her tooth. She left smiling!
In just 6 months, we can correct minor crowding of teeth to give you a healthy, protected bite that is also beautiful! Invisalign is a great way to have a quick fix for minor crowding such as this.
After cancer treatment, this patient was left with broken down front teeth. We rebuilt them with natural looking crowns so he can smile with confidence again!
I never write reviews but I have to for this place! I had problems that lasted for years (TMJ & tooth pain) and they fixed it in all of 2 appointments! These people know what they are doing, to say the least! My quality of life has improved due to the dentists here!!