Accessible Version
Harmony Dental Wellness
A Great Dentist

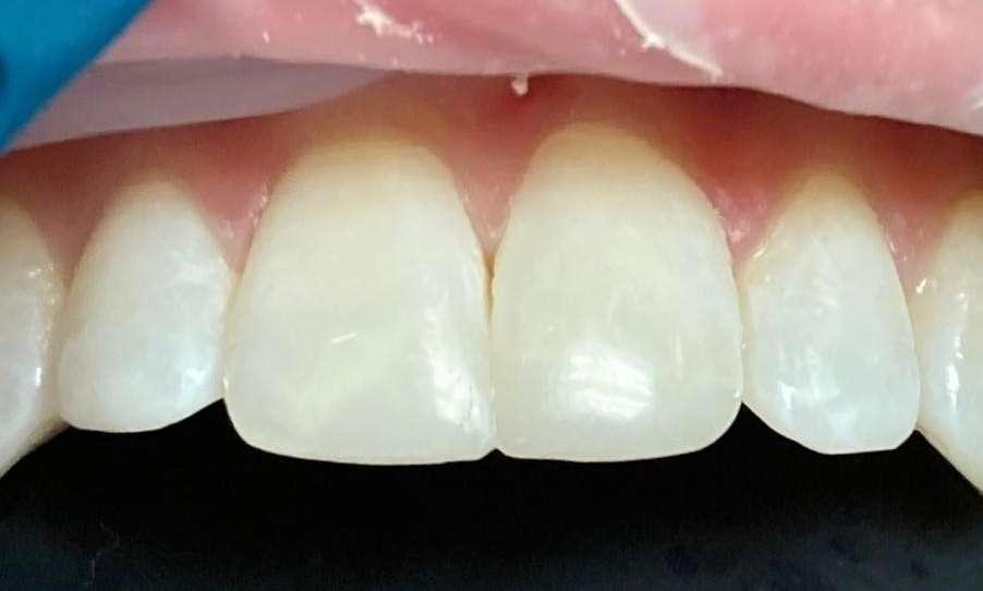
Broken Front Teeth

This patient fell and broke her two front teeth on a weekend. Dr. Farahani came in and fixed them in about an hour, restoring the confidence and health of her mouth! 

Service Performed By:

Sheila Farahani
Still need an appointment?
If you have difficulty using our website, please email us or call us at (512) 346-1212
Privacy Policy