Skip to main content Accessible Version
BioClear
A healthy, beautiful smile starts here

BioClear | Dentist
We want you to have your healthiest smile yet - call to schedule your appointment
Contact Us

BioClear

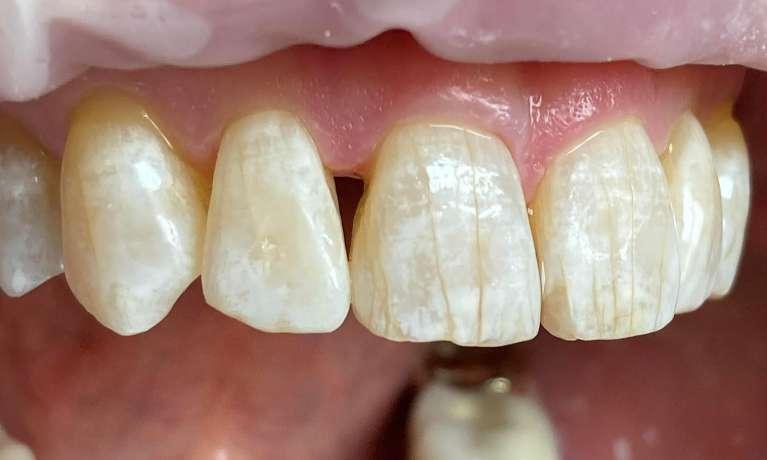
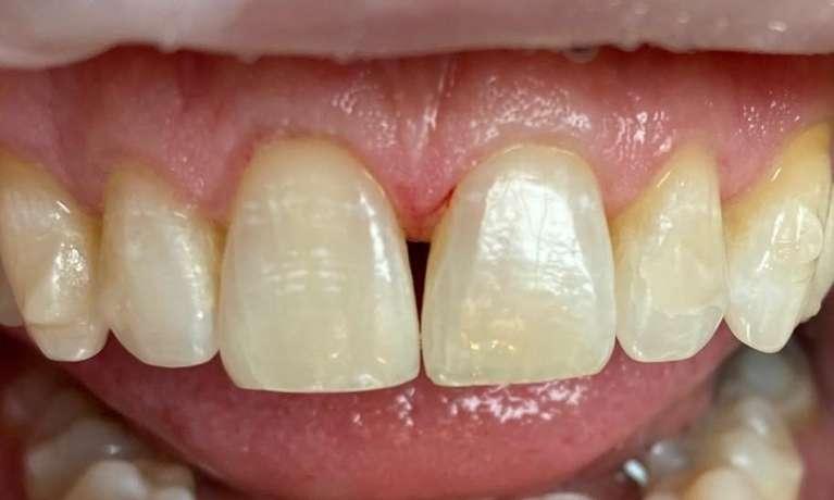
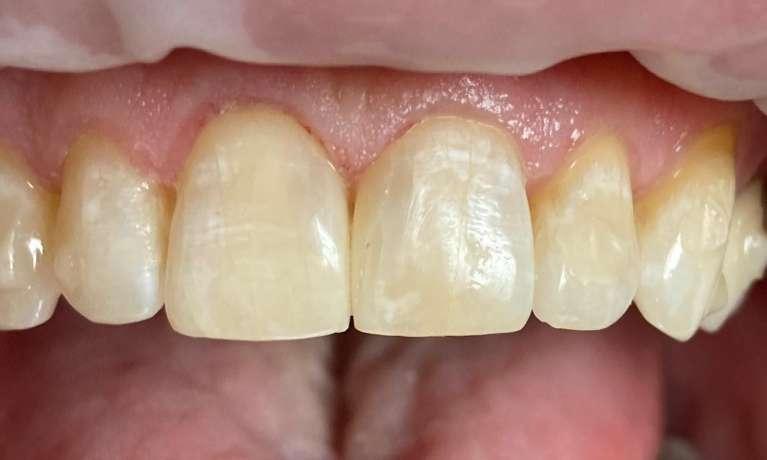
Gaps between teeth at the gum line, called Black Triangles, can make it look like you have food caught between your teeth, even when they are clean. In addition to the cosmetic issue they cause, Black Triangles create homes for damaging bacteria. These areas are more likely to develop gum disease or cavities!

Dr. Sheila Farahani has completed advanced training in the BioClear system to close these Black Triangles. Unlike Veneers that require enamel to be cut down,  BioClear is a completely conservative procedure that does not require removal of any tooth structure! It is a safe and long-lasting way to improve the health and cosmetics of these important gumline areas.

Harmony Dental Wellness is proud to be one of the few providers nationally that offers Bioclear and Dr. Farahani is one of a select few in Austin, TX to have completed the BioClear training program. She would be happy to discuss with you to see if BioClear Black Triangle treatment is right for you

Frequently Asked Questions

Of course we do! Dr. Farahani uses virtual dental appointments to reduce the number of times patients need to come to the office. Using either photographs or video chats, Dr. Farahani is able to help answer questions or give guidance to patients. This is especially useful for patients going through Invisalign clear aligner therapy. Where as we usually see these patients every 6 weeks, we can reduce those visits to every 10 weeks or even longer between visits! Feel free to ask if Virtual Care is right for you.

Meet Our Doctor:

Sheila Farahani, DDS, FAACA

Sheila Farahani DDS, FAACA
Principal Dentist

If you are a new patient with us, let me welcome you and tell you a bit about me. My path to dentistry was winding, but each step along the path provided a foundation for the unique dental practice that we have created here in Austin.

I studied biochemistry as an undergraduate at the University of Washington and went on to post graduate study in coral reef biology before earning a Master's in Teaching degree. I taught high school chemistry and biology for a few years but was frustrated with the red tape ...

Getting an appointment is fast and easy!
Get Started!