Accessible Version
Harmony Dental Wellness
A Great Dentist

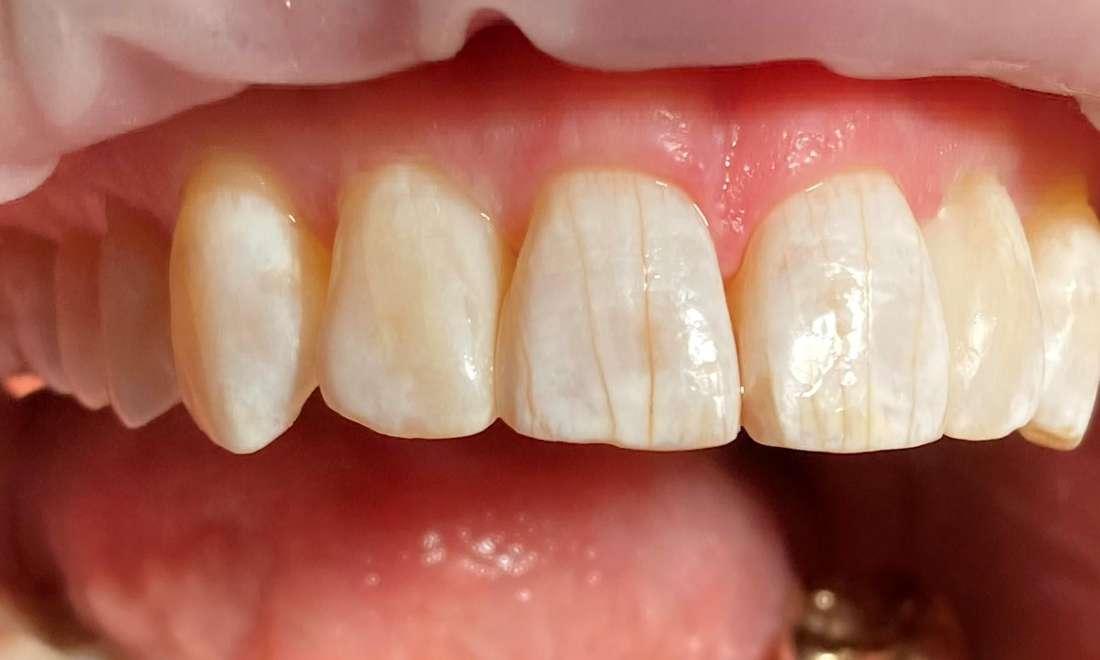
BioClear to close gum line black triangles of space

After orthodontics, this patient was left with black triangles of space at the gum line. Using the Bioclear system, Dr. Farahani added tooth colored filling material to close the spaces without removing any tooth structure! (Note: Black Triangles result from historic bone loss, not caused by orthodontics!)

Service Performed By:

Sheila Farahani
Not finding what you need?
If you have difficulty using our website, please email us or call us at (512) 346-1212
Privacy Policy