Solea® Needle-Free Dentistry in Austin, TX
Technology makes everyday life easier in so many ways, and advancements in dentistry are no exception. When Dr. Sheila Farahani discovers techniques and technology that make a procedure more precise and comfortable for patients, she takes notice. Solea laser dentistry is one of the newest ways we have advanced the quality of the dental care we provide in our Austin dental office.
What Is Solea Laser Dentistry?
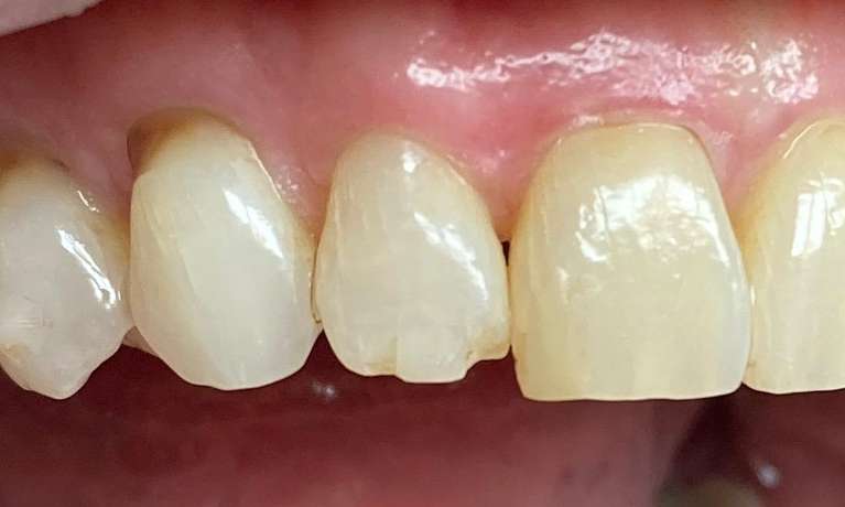
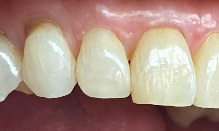
Solea is an American-made and -tested, FDA-approved, CO2 laser device that is reliable for a variety of tooth and gum procedures. Rather than drills and traditional surgeries, laser dentistry uses light energy to get the job done with less downtime and faster healing.
As one of the most advanced lasers, Solea gives your dentist more control than ever before. What does that mean for you? Our patients enjoy anxiety-free, gentle dentistry for everything from fillings to advanced gum surgeries.
Why Should I Choose Solea?
As an alternative to the dental drill, the Solea laser is quiet, produces no vibration, and dramatically reduces or eliminates discomfort. Many patients have such a pain-free experience with Solea that they skip the anesthesia altogether. That means no more waiting for numbing to take effect or to wear off!
Dr. Farahani has undergone advanced training to deliver the highest-quality modern laser dentistry available today, right here at Harmony Dental Wellness. She provides precise dental treatments that are more conservative and leave more healthy tissue intact. A tooth that has been prepared with a laser creates a stronger bond than one prepared with a drill. Laser dentistry makes it possible to avoid stitches for most surgeries, which makes healing much easier and more comfortable.
Common Laser Dentistry Procedures
Solea addresses both soft tissue and tooth procedures, including:
- Cavities and fillings
- Frenectomy and tongue-tie surgeries
- Cosmetic gum contouring and reshaping (gingival sculpting)
- Oral surgery procedures
If you’ve recently been diagnosed with gum disease and need surgery, or if you are looking for cosmetic solutions to reduce a gummy smile, Solea may be the answer.
Better, Faster Dentistry with the Solea Laser
Families today are busy, and fitting multiple dental appointments into your hectic schedule can be a challenge. Not only does laser dentistry reduce the time you spend in the dental chair, but it can also mean fewer dental appointments overall.
Contact Us to Learn More about Laser Dentistry
Are you looking for laser dentistry in Austin, TX? Contact Harmony Dental Wellness to book an exam with Dr. Farahani. We warmly welcome new patients and look forward to showing you how comfortable and stress-free dental appointments can be.
You can read more at ilovesolea.com
