Skip to main content Accessible Version
The Dental Hygiene Experience
A Healthy Smile Starts Here!

Routine cleaning and checkup appointments allow us to monitor your oral health and help you achieve your goals for your smile.

Dental Hygiene in Austin, TX
Is is time to schedule your next preventive visit?
Click Here

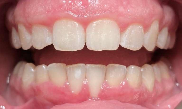
Dental Hygiene in North Austin

dental hygiene in austin We hear it time after time: Immediately after experiencing a thorough “cleaning” with one of our highly-trained hygienists, patients just can’t stop enjoying the sensation of running their tongues along their cleaned and polished teeth. This slick, fresh, sparkling-clean feeling is a result of bacteria and plaque-free tooth surfaces.

The Formation of Plaque and Tartar

Throughout the day, teeth develop a layer of plaque, known as biofilm, that feels as if your teeth are wearing fuzzy little sweaters. These “sweaters” are harmful bacteria that can cause tooth decay, gum and bone infections, halitosis (bad breath), and can circulate through your blood vessels to all major organ systems and can lead to diseases and other health concerns.

Our hygienists strive to motivate and assist you in committing to an effective personalized home care routine, utilizing proper tooth brushing, flossing, and techniques to prevent plaque/biofilm bacteria from building up in layers, called calculus, above and below the surfaces of your teeth. Once calculus is allowed to form, similar to barnacles adhering to the bottom of a boat, you will need the expertise of our hygiene team to remove these hardened plaque deposits.

Why Teeth Cleanings Are Very Important

Removing harmful plaque or biofilm is vital to your wellness and Mouth-Body or Oral-Systemic connection. These oral bacteria are not isolated around your teeth or in your mouth, and when active, they can cause major systemic and immune system diseases. In addition to the prevention of tooth and bone loss, a clean, healthy mouth is known to reduce your risk for heart disease, stroke, diabetes, some cancers, and premature births or low-weight babies.

We highly recommend the use of the highly effective, sonic toothbrushes, as well as powered water flossers, which assist you in maintaining a healthy oral environment. These items are made available to our patients at very low, special prices.

Little Ones Need Regular Care Too!

Speaking of babies, allow us to help your children build a foundation for a lifetime of good dental health and habits. We love taking care of children and helping them to understand the importance ofkid's dental hygiene in austin their oral health.

Because we care about your little tyke’s teeth, we are happy to offer a complimentary “Happy Visit” to welcome your little ones and help them discover that going to the dentist can be fun and educational. We always strive to keep their experiences at our office fun and upbeat, and we'll never complete any sort of procedure until they are ready and have an understanding of what is about to happen.

PerioSciences

Dr. Farahani is proud to offer a full line of PerioSciences Antioxidant hygiene products including Dental Gels, Rinses, and Toothpastes. For more information contact Harmony Dental Wellness today.

Frequently Asked Questions

 

 

Most people have a hand brush in their bathroom instead of an electric so I'll begin there. Any hand brush you use needs to be soft. If you are using a medium or hard bristle brush, please throw it away (or use it for cleaning grout). Your gum tissue is very soft and sensitive. A hard brush will damage the gums and cause recession and will actually wear away the tooth surface! There are even extra-soft (or gentle) brushes for those who already have recession or exposed roots. 

Think of the toothpaste as a the scrubber and the brush as the massager. All you need to do is gently apply the paste by rotating the brush at a 45 degree angle to the gums and let the paste do the work for you. 

I highly recommend an electric brush for most people. The two major brands that have been tested and approved by the ADA are the Sonicare and Oral B (Braun) Triumph brushes. Both have supportive research that they do a great job cleaning which begs the question of which to use? Here are the main differences:

1. Brush shape: The sonicare has a diamond shaped head while the Oral B has a round head. If you have a hard time getting around your upper back tooth, the round head may do a better job. Otherwise, it is personal preference!

2. Sound: The sonicare creates a higher pitch and quieter sound. Sensitive teeth may like the less aggressive feel of this brush, but some people say it feels like it tickles.  If you want a quiet and gentle feel, Sonicare may be for you. If you are typically a hard brusher, the deeper sound and more vigorous feel of the Oral B may feel better to you. 

3. Triggers: Both brushes generally feature a buzz or pause in vibration every 30 seconds to tell you to change to the next part of your mouth. (You should be brushing for 2 minutes regardless of which brush you use.) They also both feature a light that flashes to let you know you've been brushing too hard. In the Oral B, this light is high in the handle making it easier to see. If you are a hard brusher, I recommend the Oral B for this reason. If that isn't an issue, the Sonicare will work fine!

 

I hope that helps you pick a brush. Remember to change the head of your brush every 3 months or anytime you get sick. If you have questions, please feel free to call us at (512) 346-1212.

Preventative Dentistry at Harmony Dental Wellness

You may have heard rumors that you don't really need to floss. We are here to give you the long and short answer to the confusion.

The short answer is YES, you do need to clean effectively between your teeth!

The longer answer is this: Bacteria in your mouth eat the same food you eat. They digest the food and make acid as their waste product. When bacteria are allowed to stay on your teeth and gums the acid dissolves away the tooth to make a cavity or causes inflammation of the gums to cause gum disease. That's why you need to get those pesky bacteria off of your teeth! There are several ways to effectively clean between your teeth. Classically, it is thought to be best to use floss, but depending on your mouth, you may also be able to use a waterflosser (like a WaterPik), interdental brushes, stimudents or one of many other tools. Floss effectively cleans up to 3mm below the gum line when used properly in a healthy mouth. If you have buildup, bone loss, crooked teeth, deep pockets, missing teeth or other dental conditions, you should definitely check with your dentist (or come see us!) to find out what is best for your mouth. Things change quickly in the mouth so coming back for your regular exam and hygiene visit will ensure that you can hang on to those pearly whites!

We are here to support, not judge, so please don't feel embarrassed to tell us that you don't floss. We can help!

Call to Schedule to Book a Preventative Dentistry Appointment in Austin!

Maintaining good oral health is extremely important and the best way to do that is to schedule regular visits to your dentist. Call Harmony Dental Wellness in Austin, TX today! 

Another way we are different from other offices is that, at Harmony Dental Wellness, we pay attention to saliva. Saliva is a vital component to your oral health! Of course, there are the obvious benefits of lubricating your food and helping you speak, but did you know that saliva does so much more?

Testing For Gum Disease

Your saliva is a fantastic buffer to neutralize the acids made by bacteria and helps prevent cavities and gum disease. Throughout your experience with us, we will monitor your saliva. At your first visit, we measure the quantity and consistency of your saliva and ensure that adequate saliva is being produced from all three major saliva ducts in your mouth. At all hygiene appointments, we measure the pH of your saliva to screen for reflux, buffer capacity (quality) and other possible issues. If periodontal (gum) problems are present, we may recommend salivary testing.

A simple sample of your saliva can tell us what kinds of bacteria live in your mouth and how many of them there are. That means we will know which antibiotic, if any, is best for your mouth. Dr. Farahani always tries to avoid the use of antibiotics unless absolutely necessary and she believes that saliva testing allows her to choose a medication that will be minimally impacting to the rest of the body. Use of the correct antibiotic in conjunction with gum therapy can result in a reduction of your harmful bacterial levels to below your body's reactive threshold levels.

In some situations, we may recommend the use of that same saliva sample to screen for genetic markers or viruses, such as HPV, that would indicate higher risk for you of diseases such as cancer. While most people think of HPV as being related to cervical cancer, it more commonly causes throat cancer.

We are always looking for ways to prevent disease! Call our office if you have any further questions.

Of course we do! Dr. Farahani uses virtual dental appointments to reduce the number of times patients need to come to the office. Using either photographs or video chats, Dr. Farahani is able to help answer questions or give guidance to patients. This is especially useful for patients going through Invisalign clear aligner therapy. Where as we usually see these patients every 6 weeks, we can reduce those visits to every 10 weeks or even longer between visits! Feel free to ask if Virtual Care is right for you.

Meet Our Doctor:

Sheila Farahani, DDS, FAACA

Sheila Farahani DDS, FAACA
Principal Dentist

If you are a new patient with us, let me welcome you and tell you a bit about me. My path to dentistry was winding, but each step along the path provided a foundation for the unique dental practice that we have created here in Austin.

I studied biochemistry as an undergraduate at the University of Washington and went on to post graduate study in coral reef biology before earning a Master's in Teaching degree. I taught high school chemistry and biology for a few years but was frustrated with the red tape ...

Scheduling an appointment couldn't be easier!
Start Here