Skip to main content Accessible Version
Teeth Whitening
Would You Like a Whiter, Brighter Smile?

Teeth whitening in Austin, TX may be the solution you're looking for, and Harmony Dental Wellness can help!

Teeth Whitening in Austin, TX
Are You Ready to Get Your Smile Back in Shape?
Contact Us Today

Teeth Whitening in North Austin

While our patients’ needs and esthetic desires vary, the most commonly requested smile enhancement is teeth whitening. Almost everyone would love to have a whiter, brighter smile, and you might be surprised at the impact teeth whitening can make on your appearance. Better yet, teeth whitening is one of the most efficient and affordable ways to enhance your smile.

The great news is that once we complete a thorough examination to ensure you are a good candidate for teeth whitening, there are a multitude of options to choose from. Some of these options can you can find in your local pharmacy or supermarket dental-care aisle.

However, you will enjoy the highest degree of long-lasting success by investing in a professional dental whitening procedure. Your dentist in North Austin can also provide options and advice if you should encounter any problems with sensitivity.

Beautiful Smiles Start With Good Health

At the heart of a dazzlingly bright and white smile are healthy gum tissues. Continuing care visits with our hygienists are required at intervals dictated by your level of bacterial activity and person smiling holding toothbrush by teethbuildup. These harmful bacteria and hard calculus around and under your gum tissue will cause inflammation, staining, and bleeding. Additionally, it is essential that you be committed to an impeccable home-care routine of daily brushing and flossing your teeth. An excellent routine at home combined with professional whitening treatments can give you the brighter, more beautiful smile you desire.

If you are considering teeth whitening for your smile, it is also a good idea to have a professional cleaning with your dental hygienist first, so you can achieve optimal results.

The Benefits of a Brighter Smile

Science has found that your bright and confident smile benefits both you and other people.

When you smile, it releases chemicals in your brain like serotonin and endorphins that make you feel good and elevates your mood. Since smiles are contagious, it also means that when you smile, it will cause those around you to reciprocate, which will also boost their mood.

If you are dissatisfied with the appearance of your teeth, it may cause you to cover your smile. Hiding your smile may make you seem unfriendly or unapproachable even though that's not your intention. When you feel confident about your smile, other people are drawn to you. Feeling confident creates opportunities for new relationships, career options, and other things you may never have thought possible.

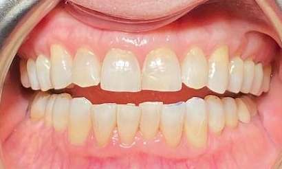
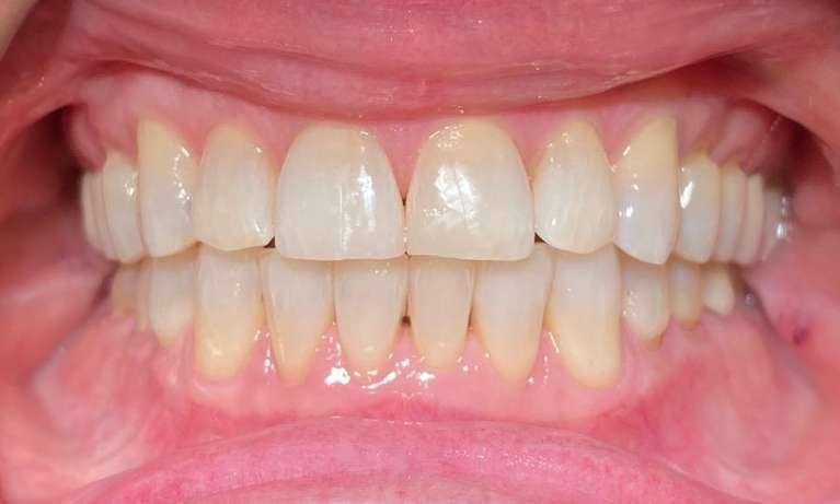
before and after teeth whiteningWhy Choose Professional Teeth Whitening?

When you visit your local grocery store, you are bombarded with options for whitening your teeth and brightening your smile. It can feel overwhelming to decide on the best option for your teeth, and there are some things to consider before you make your choice.

First, your dentist in North Austin provides whitening gel that is stronger than what you can find at the grocery store. A higher strength bleaching gel means that you can achieve the results you want with less time spent whitening your teeth.

Next, professional teeth whitening treatments with your dentist are customized just for your teeth. With custom whitening trays designed for you, you'll diminish the chances of bleaching gel escaping your trays and harming your gums. Generic whitening products from the grocery store are one-size-fits-all, which can make it more difficult for you to achieve the results you want.

Lastly, it is always safer and a good idea to whiten your teeth under the guidance and supervision of your dentist. Dr. Farahani will have suggestions and solutions if you encounter any problems with sensitivity or other issues.

Our Teeth Whitening Methods

Custom, Tray-Based, Tooth Whitening Gel System

We've designed this custom smile whitening system for use at home. We place a specially formulated whitening gel into custom-designed trays fabricated from molds of your teeth. The trays are worn for up to an hour for a few days, determined by the degree of whitening desired and the internal color of your teeth, typically around two weeks for most patients.

An additional benefit of choosing this teeth whitening system is that you'll be able to brighten your smile whenever you like at home. If you have a wedding, reunion, or vacation coming up, you can be sure that your smile is always camera-ready.

On the other hand, if you’d prefer whiteness without the wait, our in-office systems might be what you have been looking for.

Opalescence Boost

This in-office, chemically activated, whitening gel treatment is also applied in trays fabricated from molds of your teeth. Due to the strength of this formula, offering results in less than an hour, this procedure requires direct supervision by one of our trained clinical team members.

This option is an excellent solution for patients who need immediate results as you will leave our office with teeth that are around six shades lighter than when you started the process.

Glo In-Office Whitening System

Glo is our most advanced whitening method. During your whitening treatment, we carefully apply whitening agents to your teeth and activate them with the Glo light source. This process lightens your teeth up to eight shades while protecting your dental enamel and reducing sensitivity.

This option may be ideal for patients who have lived with stubborn tooth stains that haven't responded well to other treatments in the past.

Depending on your lifestyle and sensitivity tolerance, we don't recommend tooth whitening for everyone. We invite you to visit with Austin dentist, Dr. Farahani, and members of our clinical team to discuss what may be most appropriate for you.

woman and man smiling at their deskProtecting Your Brighter Smile

After you've invested time and money into enhancing your smile with professional teeth whitening in Austin, TX, you will also want to spend time protecting your bright smile and your investment.

A consistent at-home routine of brushing your teeth twice daily and flossing once is the first step to removing plaque from your teeth and maintaining your bright smile. Dr. Farahani may suggest choosing an electric toothbrush to help with the intricacies of brushing correctly, or an antibacterial mouth rinse to help reduce plaque and bacteria in your mouth.

Limiting your consumption of certain tooth-staining foods and drinks will also help protect your bright new smile. Rinsing with water after eating or drinking these items will help to limit their impact on your teeth. Some of the foods and drinks that cause staining to be aware of are:

  • Dark berries like raspberries, blueberries, and blackberries
  • Coffee and black tea
  • Dark cola
  • Curries and soy sauce
  • Marinara sauce
  • Red wine

Visiting Dr. Farahani and your dental hygiene team every six months for teeth cleanings and examinations will also help you maintain your bright smile. Your hygienist uses special tools to remove the plaque buildup that you miss during brushing, and that causes tooth decay and can dull your smile. Regular preventive dental care will not only protect your oral health, but it will also brighten your smile.

Are You Ready to Learn More?

Your whiter, brighter smile is just a phone call away! If you would like to discuss your options for teeth whitening in Austin, TX, or making other enhancements to your smile, give Harmony Dental Wellness a call today at (512) 346-1212 to learn more.

Frequently Asked Questions

Of course we do! Dr. Farahani uses virtual dental appointments to reduce the number of times patients need to come to the office. Using either photographs or video chats, Dr. Farahani is able to help answer questions or give guidance to patients. This is especially useful for patients going through Invisalign clear aligner therapy. Where as we usually see these patients every 6 weeks, we can reduce those visits to every 10 weeks or even longer between visits! Feel free to ask if Virtual Care is right for you.

Meet Our Doctor:

Sheila Farahani, DDS, FAACA

Sheila Farahani DDS, FAACA
Principal Dentist

If you are a new patient with us, let me welcome you and tell you a bit about me. My path to dentistry was winding, but each step along the path provided a foundation for the unique dental practice that we have created here in Austin.

I studied biochemistry as an undergraduate at the University of Washington and went on to post graduate study in coral reef biology before earning a Master's in Teaching degree. I taught high school chemistry and biology for a few years but was frustrated with the red tape ...

A Brighter Smile Is Just a Phone Call Away!
Start Here