Skip to main content Accessible Version
Crowns and Bridges
Innovative Options to Restore Your Smile

Dental crown and bridge restorations offer solutions for compromised or missing teeth.

Dental Crowns and Bridges in Austin, TX
Need a Tooth Repaired? Learn How We Can Help Here!
Click Here

Dental Crowns and Bridges in North Austin, TX

restorative dentistry | 78759 dentist Welcome to our fantastic world of advanced reconstructive and restorative dentistry!

If your smile is damaged, weakened, or unattractive in any way, you can rely on Austin dentist, Dr. Sheila Farahani's artistic ability and meticulous approach to bring health and attractiveness back to your smile.

Contact Harmony Dental Wellness today at (512) 346-1212 to get started on the path toward a healthy and beautiful smile.

What Crowns, Inlays, Onlays or Dental Bridges in Austin Do for Your Smile

When one or more of your teeth are structurally compromised and weakened by decay or trauma, restoring them will require more than a traditional filling since the size, shape, design, and choice of materials are varied. Working in a close relationship with the most excellent dental laboratories and technicians, our dentist designs custom-crafted porcelain and gold cast restorations to return your teeth to a state of strength, endurance, and a beautifully natural appearance. We pride ourselves on our long-term relationships with our artistic technicians, which provide our patients with restorations of outstanding quality and durability they can rely on for many years.

Developing Your Treatment Plan

After listening to your concerns and preferences, your North Austin dentist will partner with you in a co-discovery consultation as we work together to establish your long-term treatment plan. As always, coming together with mutual understanding and goals for your dental health is our priority!

At its core, the most exceptional dentistry begins with a meticulous and comprehensive examination leading to a diagnosis of your teeth and supporting gum and bone structure. Esthetics, existing structural integrity, existing bone support, and bite forces are the major factors that we consider when customizing your ideal treatment plan.

Much of the preliminary phase of successful treatment planning is spent analyzing the above factors with study casts (models) of your teeth. These models are then mounted on a machined replica of your mouth, enabling our dentist to determine the exact movement of your mouth and the forces placed on your teeth. These three-dimensional casts, along with diagnostic imaging and data from your comprehensive examination, are the building blocks on which we build successful treatment planning. Without these valuable diagnostic criteria, we can't make a complete and accurate diagnosis.

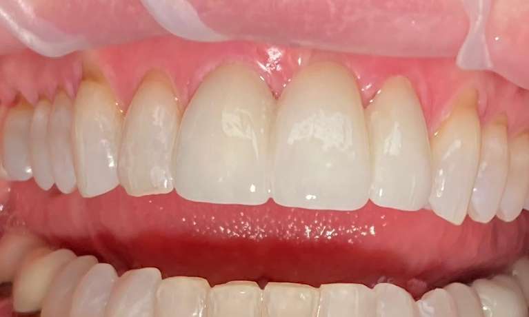
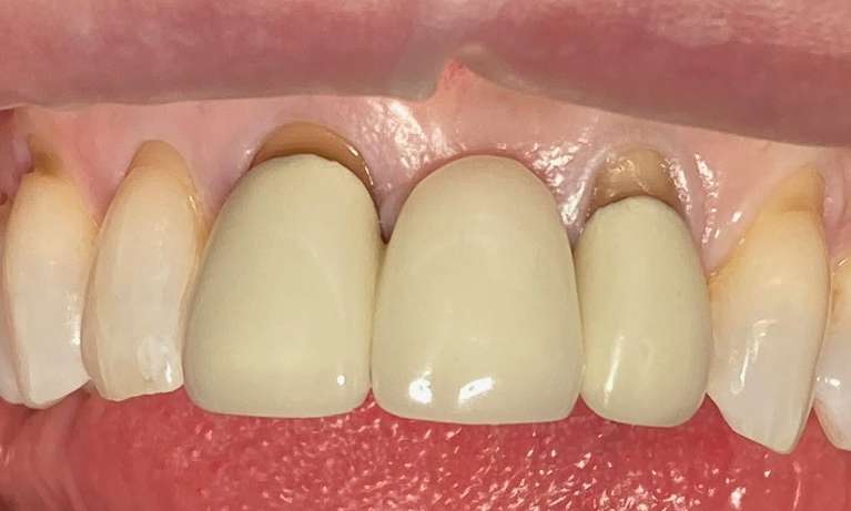
Tooth Crowns Restore Broken or Damaged Teeth

Are you living with a chipped or broken tooth? Has your tooth sustained decay that is beyond what a dental filling can repair? Does your tooth need to be strengthened after root canal treatment? If the answer is yes to any of these questions, a tooth crown in North Austin, TX may be the best solution for your smile.

A crown is a dental restoration that is designed to restore an entire tooth. Typically crowns are made of ceramic porcelain when they affect the aesthetics of your smile, but we can also use gold since it is a more durable material for molars in the back of your mouth that take the brunt of your biting force.

Dr. Farahani preserves some of your natural tooth structure, and your crown fits over it down to your gum line. She then adjusts your bite accordingly so you can chew and eat just as you did before. 

Choosing a crown to restore a damaged tooth allows you to enjoy the feel and function of a regular tooth, and porcelain crowns are customized to match your teeth and complement your smile.

Dental Bridges Replace Missing Teeth

A dental bridge is a restoration designed to restore missing teeth. Two crowns support one or multiple prosthetic teeth in between and anchor to your healthy teeth for support. A bridge is alsodental bridges in austin tx | 78759 dentist made of ceramic porcelain so it can seamlessly blend with your smile.

The key to ensuring longevity for a dental bridge is to keep your anchor teeth clean and healthy with excellent home care and regular dental cleanings and checkups every six months with your North Austin dentist.

Onlays and Inlays

Much like crowns, onlays, and inlays are essentially custom fillings made of porcelain. An inlay fills a small portion of your tooth, while an onlay may cover one or more cusps. A crown is actually an onlay that covers all four cusps of your tooth.

Dr. Farahani may recommend an onlay or inlay when decay has damaged a tooth, but a full crown is not needed. Onlays and inlays tend to last longer than composite resin fillings, so they may be an excellent recommendation for a tooth that needs more support than a filling can offer.

The Process to Complete Your Restoration

Whether it's an onlay, inlay, tooth crown, or dental bridge you are getting, the process is the same. Dr. Farahani prepares your tooth or teeth for your restoration, takes impressions for the dental lab, and creates a temporary version for you to wear. Our trusted dental lab technicians finish your handcrafted restoration in one to two weeks and then you'll return to our dental office in Austin to have your new restoration permanently placed.

At this time, Dr. Farahani will carefully make any necessary adjustments to your new restoration to ensure that your bite functions correctly. Now you can enjoy the function and aesthetics of your smile once again!

Why It's Important to Restore Your Smile

A decayed or broken tooth may or may not cause you discomfort. Either way, it is essential to repair your tooth not only to restore aesthetics to your smile and relieve possible discomfort but also to protect your dental health. You see, tooth decay can progress into the nerve of your tooth where it will result in an infection. A tooth infection is not only painful, but it can also be detrimental to the health of your surrounding teeth, and even to other nearby areas of your body if your infection begins to spread.

A missing tooth causes many concerns with not only your oral health but also your self-esteem. It's hard to chew and eat food properly when you're living with a lost tooth, let alone smile with confidence when you interact with other people.

When dental implants are not an option, a bridge can be ideal for replacing a tooth and restoring a smile. Dr. Farahani would love to discuss your options for tooth replacement in Austin with you so you can reclaim your dental health and your confidence.

Why Choose Our North Austin Dentist for Your Restorative Dentistry?

Dr. Farahani's level of expertise in rebuilding teeth and mouths has been perfected through her daily practice and continuing education. She also has extensive advanced training in restorative and cosmetic dentistry that she combines with exceptional artistry to achieve the best possible outcome for her patients. North Austin dentist Dr. Farahani is committed to honing her skills and transferring her knowledge to our patients for their continued benefit.

Contact Harmony Dental Wellness Today to Restore Your Dental Health

If you have a tooth in need of repair, or you are interested in enhancing the appearance of your smile, please don't hesitate to contact Harmony Dental Wellness at (512) 346-1212 to schedule an evaluation and learn more about restoring your smile. 

Rachel F.

In 2017, my previous dentist replaced 2 crowns on the left side of my mouth. While adjusting the fit, he ground them down so much that my back teeth no longer touched.  Instead of offering to fix it by replacing the crowns, he made me think it was normal and my bite would align and be fine.  After 4 years, two dentists after that dentist, 2 root canals, immense pain on the right side of my mouth from the constant chewing only on that side, gum recession from the trauma due to my bite being misaligned, and my teeth shifting so that I now need straightening, I found Dr. Farahani while researching dental technology to fix the bite.  She was one of the few dentists in the Austin area that had the technology to assess it (other than just bite on the carbon paper and grind side to side).  

I went to her in January 2021.  Yesterday, she replaced the 2 crowns that started all of this pain & expense, and my teeth finally touch!!  I waited until today to write this review to see how my bite would feel after wearing my night guard overnight and after the anesthetic wore off.  

I feel normal for the first time in nearly 5 years.  I didn't wake to pain.  I was able to chew on the left side of my mouth.  I started crying when I told my husband that I finally found relief.  What's more is that from the time I met her, she really listened to me and agreed with my plan of action to replace the crowns even though I have zero dental training, and she was gentle throughout.  I usually have to have multiple numbing injections (I'm a red head and wear off anesthetic quickly), but she numbed me completely and without pain doing it. I can't say enough about her or her staff.

Frequently Asked Questions

Of course we do! Dr. Farahani uses virtual dental appointments to reduce the number of times patients need to come to the office. Using either photographs or video chats, Dr. Farahani is able to help answer questions or give guidance to patients. This is especially useful for patients going through Invisalign clear aligner therapy. Where as we usually see these patients every 6 weeks, we can reduce those visits to every 10 weeks or even longer between visits! Feel free to ask if Virtual Care is right for you.

Meet Our Doctor:

Sheila Farahani, DDS, FAACA

Sheila Farahani DDS, FAACA
Principal Dentist

If you are a new patient with us, let me welcome you and tell you a bit about me. My path to dentistry was winding, but each step along the path provided a foundation for the unique dental practice that we have created here in Austin.

I studied biochemistry as an undergraduate at the University of Washington and went on to post graduate study in coral reef biology before earning a Master's in Teaching degree. I taught high school chemistry and biology for a few years but was frustrated with the red tape ...

Don't Let a Broken Tooth Diminish Your Smile
Talk with Our Team