Skip to main content Accessible Version
Dental Bonding
An Affordable Way to Restore Your Smile

Dental bonding is a fast and cost-effective way to enhance your smile, and your team at Harmony Dental Wellness can help.

Dental Bonding in Austin, TX
Would You Like to Restore and Enhance Your Smile?
Start Now

Dental Bonding in Austin, TX

dental bonding | harmony dental wellnessDoes the wear and tear your teeth have sustained over the years have you feeling self-conscious about your smile? Do you find yourself hiding your teeth in photos instead of smiling freely and with confidence? Do cosmetic dental treatments seem expensive and out of reach?

The art of dental bonding will have you smiling from ear to ear. Why? Because this cosmetic procedure is one of the least invasive and most economical ways to enhance your smile and boost your confidence!

To discuss your options for improving your smile and to learn if you are a candidate for dental bonding, we encourage you to schedule a commitment-free evaluation with Austin dentist, Dr. Sheila Farahani, today. Contact Harmony Dental Wellness at (512) 346-1212 to arrange a convenient time for your appointment.

Your Choice for Minor Corrections

It is typical for your teeth to sustain fractures, chipping, and staining over time. However, even the smallest cosmetic issues can cause you to feel embarrassed about the appearance of your smile. If you've found that you're not smiling with confidence these days, the good news is that when your teeth only need minor corrections or additions to perfect and brighten your smile, dental composite bonding is a perfect choice.

Dr. Farahani utilizes dental composite bonding in Austin, TX to:

  • Correct chipped edges of teeth
  • Repair small fractures or cracks
  • Smooth uneven tooth surfaces
  • Cover external stains or slight discoloration in teeth
  • Close small spaces between teeth
  • Eliminate minor misalignment issues
  • Reshape irregularly shaped teeth
  • Repair excessive tooth wear

The aesthetic options for dental bonding are unlimited!

Is Dental Bonding in Austin Right for Me?

At Harmony Dental Wellness, our dentist will complete a thorough oral examination before recommending a thoughtfully designed treatment plan. Our approach of providing a thorough examination is a strategy that's needed to assess your current chewing patterns and tooth positions and also to determine if grinding and wear is significant and may cause long-term concerns. This will help us learn whether the cosmetic changes you desire can become your reality through dental bonding.

If we determine that dental bonding may not meet your needs, Dr. Farahani will discuss other dental treatment options that can provide the solutions for your smile that you are looking for. Cosmetic dentistry in Austin, TX offers many options to help you reach your smile goals, such as invisible braces, porcelain veneers, tooth crowns, and professional teeth whitening. We will help you select the treatment that is right for you and your dental health. 

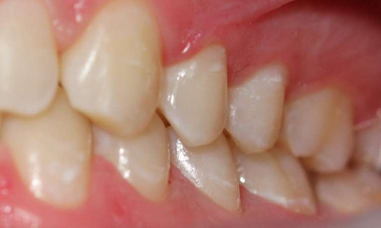
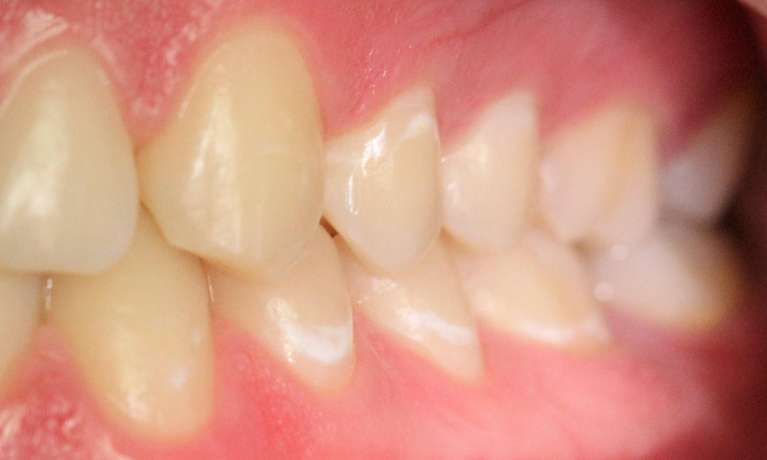
How Dental Bonding in Austin Restores Your Smile

Dental bonding is a quick, non-invasive, and comfortable way to help you achieve your smile goals since we can perform the procedure in one to two office visits, and we typically do not need dental bonding in austin txto use anesthesia.

Dr. Farahani will create your restoration by skillfully layering natural-looking, tooth-colored resin to minimally prepared tooth surfaces, and adhering it to your tooth using a special LED Laser curing light. Composite resin material combines both plastic and glass particles that can be custom blended to match your teeth and smoothed into a translucent finish. The result is a beautiful, seamless, undetectable restoration.

The Difference Between Bonding and Veneers

One of the main differences between dental veneers and bonding is that a veneer is a thin layer of porcelain that fits over your tooth. To place a porcelain veneer, we remove a small amount of tooth structure, and your veneers are bonded directly to your teeth. Dental veneers are designed to cover many of the same imperfections that bonding corrects; however, another significant difference is that veneers can change the shape, color, and size of your teeth, allowing you to recreate your smile. In fact, many of the "Hollywood" smiles we admire have been enhanced and redesigned with porcelain veneers.

Unlike porcelain veneers, we don't consider dental bonding a permanent procedure because Dr. Farahani does not have to remove any tooth structure to place your restoration. Dental bonding in Austin is an excellent solution for patients who want to make small, but significant changes to their smile, while veneers are ideal for patients looking for substantial, permanent enhancements for their teeth.

Caring for Your New Smile

If dental bonding is the right procedure for your needs, you will find that your new restorations are durable and easy to care for as brushing and flossing your teeth remains the same. With excellent home care and regular dental checkups with your dentist in Austin, your bonding can potentially last for many years, making it a very cost-effective choice for enhancing your smile. 

The Importance of Feeling Confident About Your Smile

The confidence that a beautiful smile brings is a priceless gift to give yourself! If you don't like the way your teeth look, you might hide your smile, even if you don't even realize that you're doing it. Keeping your smile hidden may not allow you to make the right impressions in both social and business settings, and it could hold you back from achieving your goals. After all, your smile is one of the things people first notice when they meet you.

Science has also determined that smiling more helps us feel happier and healthier, and even affects the people around us because it causes them to smile as well. Improving your smile is worth it when it helps to boost your confidence so you can reach your goals. Dental bonding in Austin, TX is a procedure that makes it easy and affordable to achieve a smile that you're proud of in very little time.

Is Dental Bonding in Austin Expensive?

The cost of dental bonding varies significantly with each patient's unique needs. For example, you may require only one or two teeth to be repaired, while another patient may need six or seven. This will impact the cost of your treatment versus theirs.

The best way to precisely determine how much your bonding treatment plan will cost is to schedule your evaluation with Dr. Farahani. She will let you know the price of your procedure during your assessment, and our knowledgeable treatment coordinator can help you determine if your dental insurance may cover any of the treatment. We can also review your payment options with you at this time as we do work with companies like CareCredit that can help you finance your treatment if that is of interest to you.

The good news is that dental bonding tends to be much less expensive than other cosmetic treatments like porcelain veneers, so it is a very affordable treatment option for most patients.

Contact Harmony Dental Wellness to Learn More About Dental Bonding

If you are interested in improving the appearance of your smile, give Harmony Dental Wellness a call today at (512) 346-1212 to learn more about dental bonding. We are happy to schedule a commitment-free consultation for you so we can review your options for your smile and help you select the treatment procedures that best suit your needs.

Frequently Asked Questions

Of course we do! Dr. Farahani uses virtual dental appointments to reduce the number of times patients need to come to the office. Using either photographs or video chats, Dr. Farahani is able to help answer questions or give guidance to patients. This is especially useful for patients going through Invisalign clear aligner therapy. Where as we usually see these patients every 6 weeks, we can reduce those visits to every 10 weeks or even longer between visits! Feel free to ask if Virtual Care is right for you.

Meet Our Doctor:

Sheila Farahani, DDS, FAACA

Sheila Farahani DDS, FAACA
Principal Dentist

If you are a new patient with us, let me welcome you and tell you a bit about me. My path to dentistry was winding, but each step along the path provided a foundation for the unique dental practice that we have created here in Austin.

I studied biochemistry as an undergraduate at the University of Washington and went on to post graduate study in coral reef biology before earning a Master's in Teaching degree. I taught high school chemistry and biology for a few years but was frustrated with the red tape ...

Learn How You Can Improve Your Smile Today!
Call to Get Started