Skip to main content Accessible Version
Dentures & Partials
We Can Restore Your Smile

Dentures and partials can restore multiple missing teeth and Harmony Dental Wellness can help!

Dentures & Partials in Austin, TX
Would you like to learn more about dentures?
Click Here

Dentures & Partials in North Austin

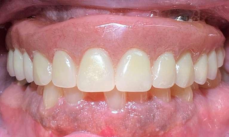
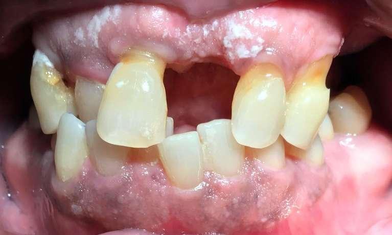
dentures | austin tx dentist While it is our top priority to help you keep your natural teeth for your lifetime, there may be circumstances that lead to tooth loss. Living with multiple compromised teeth can take a toll on your confidence as well as your nutrition since it becomes difficult to properly chew the foods you would normally enjoy. If you find yourself struggling with missing teeth, your optimal treatment plan may be designed to include custom-made full, partial or more stable implant-supported dentures.

Comfortable, Stable Dentures

Full or partial removable dentures are precision appliances that replace multiple missing teeth and even an entire arch of missing teeth. Dentures rely on suction and a secure fit to keep them in place, while partials use metal clasps that anchor to healthy remaining teeth. A denture is typically made of acrylic, and our dentist thoughtfully designs them, taking into consideration your facial structure and skin tone, so your new smile enhances your overall appearance while also restoring function so you can enjoy food once again. A partial uses custom-designed prosthetic teeth to fill in the gaps left by your missing teeth, creating a harmonious appearance to your smile once again. 

Dr. Farahani has chosen the finest dental labs and technicians specializing in the crafting of securely fitted prosthetics that feel comfortable and provide stability and enhanced natural appearance.

The Innovation of Implant Retained Dentures

partial dentures in 78759Taking advantage of the advancements in the technology, fabrication, and design of full and partial dentures, Dr. Farahani will often incorporate the use of dental implants to reinforce the stability of your denture and lock it into place for optimum retention. A few dental implants are placed strategically so your partial or full denture can "snap" into place. Implants ensure that your denture stays securely in place eliminating any movement or slippage when you eat, talk, or laugh. They also provide the additional benefit of stimulating your jawbone, so there is no deterioration experienced over time as there is with traditional dentures, which ensures improved longevity for your appliance.

By designing all forms of dentures using the same exacting standards they apply to advanced crown and bridge reconstruction, Dr. Farahani endeavors to contribute to your overall health, wellness, eating pleasure and quality of life.

Which Option is Right for Me?

We understand that dealing with tooth loss affects the quality of your life and determining the best way to restore your oral health is a big decision, and that is why our dentist is here to help. We take into consideration many factors when determining the best recommendation for your oral health, including your lifestyle and overall health goals.

Schedule a consultation with your North Austin dentist today to determine which tooth replacement option best suits your needs.

Frequently Asked Questions

Of course we do! Dr. Farahani uses virtual dental appointments to reduce the number of times patients need to come to the office. Using either photographs or video chats, Dr. Farahani is able to help answer questions or give guidance to patients. This is especially useful for patients going through Invisalign clear aligner therapy. Where as we usually see these patients every 6 weeks, we can reduce those visits to every 10 weeks or even longer between visits! Feel free to ask if Virtual Care is right for you.

Meet Our Doctor:

Sheila Farahani, DDS, FAACA

Sheila Farahani DDS, FAACA
Principal Dentist

If you are a new patient with us, let me welcome you and tell you a bit about me. My path to dentistry was winding, but each step along the path provided a foundation for the unique dental practice that we have created here in Austin.

I studied biochemistry as an undergraduate at the University of Washington and went on to post graduate study in coral reef biology before earning a Master's in Teaching degree. I taught high school chemistry and biology for a few years but was frustrated with the red tape ...

Schedule your next appointment today to learn more
Start Now