Accessible Version
Harmony Dental Wellness
A Great Dentist

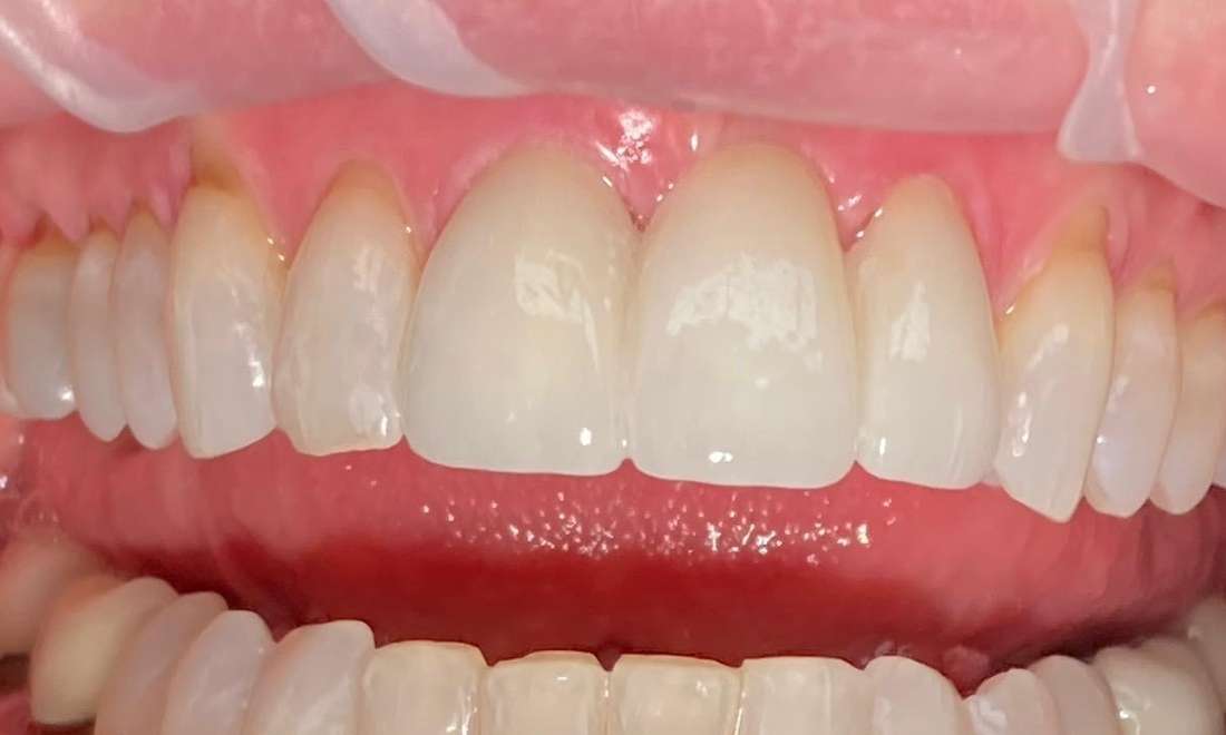
Porcelain bridge to replace a missing front tooth

This patient had an old metal framework bridge to replace a missing front tooth. Over time the gums pulled back leaving an ugly feature in her beautiful smile. Dr. Farahani replaced the bridge with a custom, layered porcelain bridge, restoring the confidence of her smile!

Related Services:

Crowns and Bridges
Not finding what you need?
If you have difficulty using our website, please email us or call us at (512) 346-1212
Privacy Policy