Accessible Version
Harmony Dental Wellness
A Great Dentist

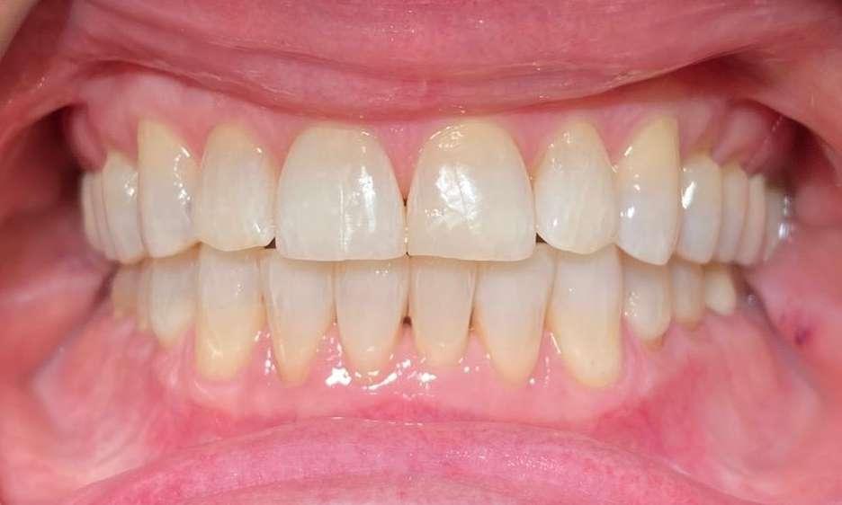
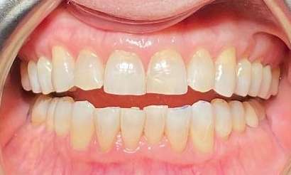
Invisalign to Prevent Chipping

Her lower front teeth were chipping and crowded. 6 months later, she has straight and healthy teeth! Invisalign allows the fastest and easiest solution for tooth movement to give you the smile you've always wanted. 

Getting an appointment is fast and easy!
If you have difficulty using our website, please email us or call us at (512) 346-1212