Accessible Version
Harmony Dental Wellness
A Great Dentist

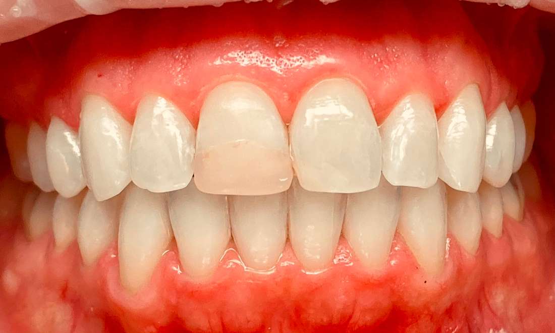
Composite Veneer to fix a broken tooth

This patient had an old, discolored filling for years on her front tooth. In one visit, Dr. Farahani placed a composite veneer to restore the natural look and feel of the tooth. Like it never happened, this patient was given back the strength and confidence of a beautiful smile!

Have Questions? Get in Touch
If you have difficulty using our website, please email us or call us at (512) 346-1212
Privacy Policy