Accessible Version
Harmony Dental Wellness
A Great Dentist

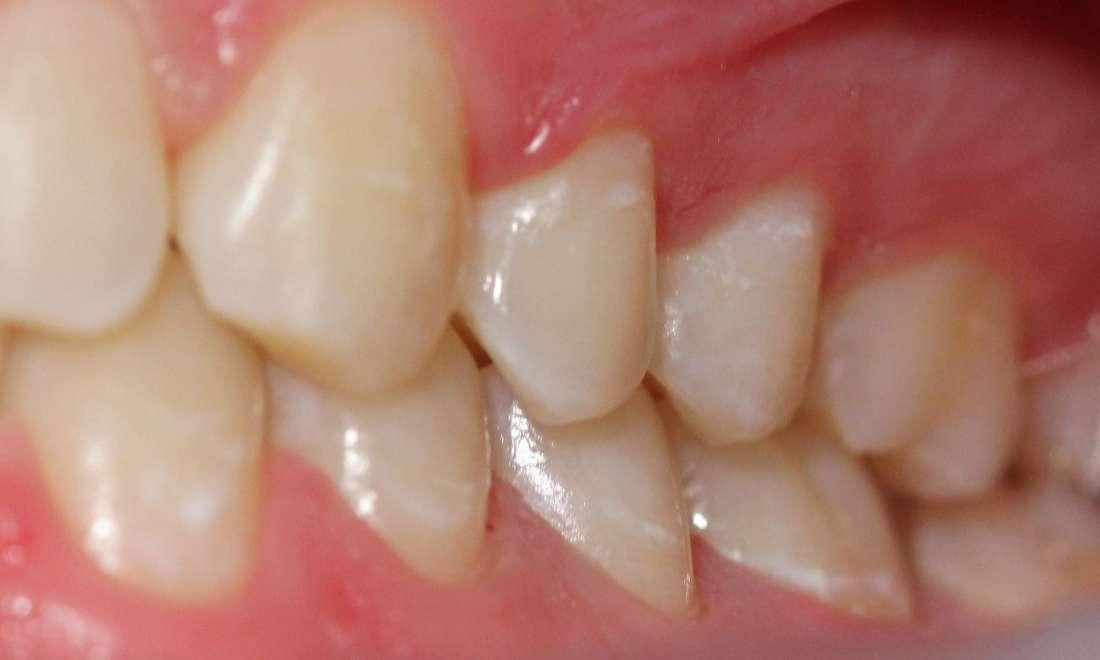
Icon treatment for white spots on teeth

After braces, this patient had white spots around where the brackets had been. We use a resin infiltration called Icon that does not require any shots or drilling to remove these spots and harden the tooth structure! Visits take about 10 minutes per tooth and results are long-lasting.

We want you to have your healthiest smile yet - call to schedule your appointment
If you have difficulty using our website, please email us or call us at (512) 346-1212
Privacy Policy