Accessible Version
Harmony Dental Wellness
A Great Dentist

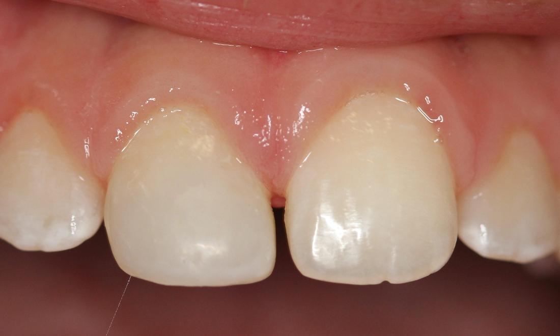
Like it never happened!

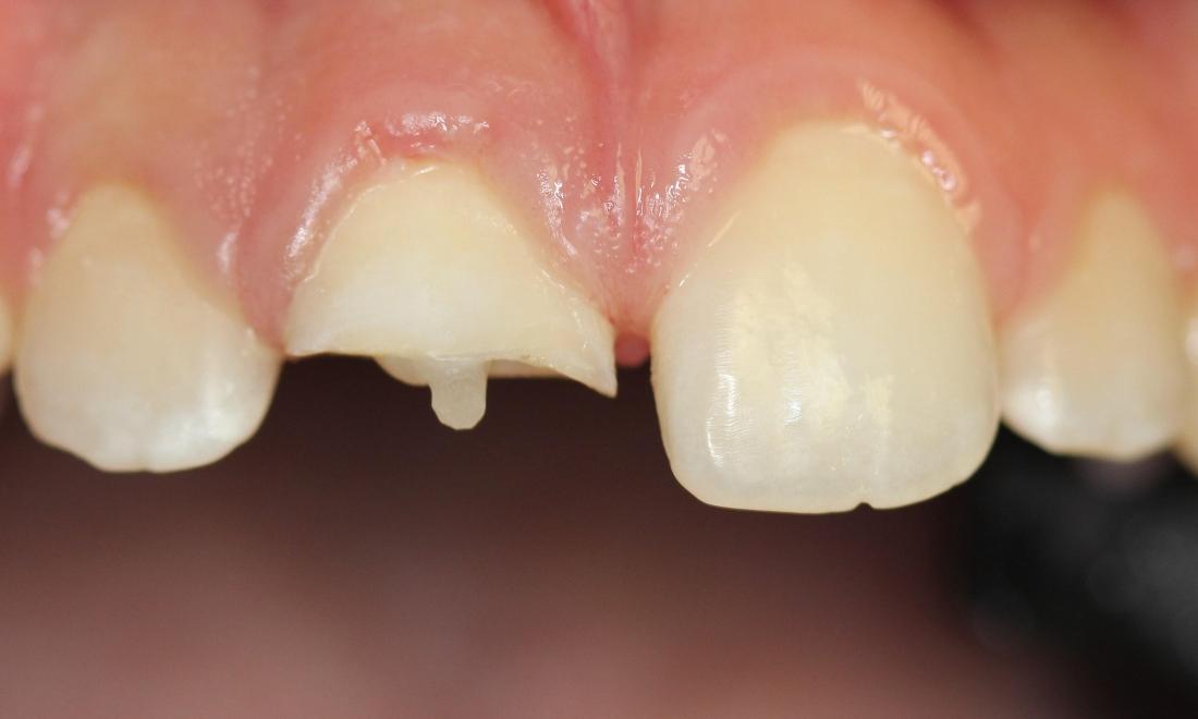
This patient broke her front tooth and needed emergency treatment. In about 30 minutes, Dr. Sheila Farahani was able to place this post and rebuild her tooth. She left smiling!

Ready to book an appointment?
If you have difficulty using our website, please email us or call us at (512) 346-1212
Privacy Policy